- HOME
- こんな悩みありませんか?
- 歯が足りないことでお悩みの方へ(下顎の2番目の歯がない 治療例は女性)
- 歯が足りないことでお悩みの方へ(上顎の2番目の歯がない 治療例は女性)
- 咬みあわせが深くてお悩みの方へ(治療例は男性)
- 歯が埋まっている、または歯が足りないことでお悩みの方へ(治療例は男性)
- 歯が埋まっていることでお悩みの方へ(上顎の5番目の歯が埋まっている 治療例は女性)※非抜歯
- 指しゃぶりが原因で前歯が閉じない方へ(治療例は女性)
- 唇顎口蓋裂でお悩みの方へ(治療例は男性)
- 奥歯の咬みあわせでお悩みの方へ(鋏状咬合 治療例は女性)
- 乳歯の受け口でお悩みの方へ(歯列矯正用咬合誘導装置(ムーシールド) 治療例は女性)
- 目立たずに矯正治療を行いたい方へ(マウスピース型矯正装置 治療例は女性)
歯が足りないことでお悩みの方へ(下顎の2番目の歯がない 治療例は女性)
来院理由
下顎の2番目の歯が両方ともないということで来院されました。隣のイラストの×印が足りない歯です。
治療経過
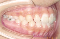
10歳10ヶ月の来院時には下の写真の○の部分にあるはずの2番目の歯がはえてきておらず、前歯の横に犬歯がはえています。歯が足りない分、下顎が小さくなり、上顎は逆にすべての歯がはえそろっていますが、歯が大きいため、上顎の歯並びが悪くなってしまっています。
11歳1ヶ月の写真です。上顎の歯の数を下顎の歯の数に合わせるため、上顎の歯を2本抜いています。そして、矯正装置を使用して、抜いてできたスペースに歯を移動していきます。
12歳0ヶ月の写真です。上顎の歯が移動してきています。あわせて下顎の歯並びも治療していっています。
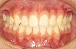
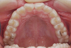
14歳0ヶ月の写真です。矯正装置を外しております。美しい歯並びになりました。
15歳0ヶ月の写真です。定期的に来院していただいてチェックを行っていますが、あと戻りも起きておらず、美しい歯並びを維持しています。
- 治療方法
- 下顎両側側切歯の先天欠如を伴う叢生症と診断し、マルチブラケット装置にて上顎両側第一小臼歯を抜去して治療
- 治療の費用
- ¥735,000(税込)
- 治療期間
- 3年0ヶ月
- リスク・副作用
- 治療上のリスクとして歯肉退縮、顎関節症、歯根吸収、カリエス、失活歯、根の露出、 骨隆起、劣成長、歯周病があります。また、治療には個人差があります。
歯が足りないことでお悩みの方へ(上顎の2番目の歯がない 治療例は女性)
来院理由
上顎の2番目の歯がなく、犬歯が埋まっているということで来院されました。隣のイラストの×印が足りない歯で、△が埋まっている歯です。
治療経過
11歳10ヶ月の来院時には下の写真の○の部分にあるはずの2番目の歯(側切歯)と犬歯がはえてきておらず、前歯の間や前歯と4番目の歯との間が空いてしまっています。そのため、乳歯が抜けずにいつまでも残っています。
12歳2ヶ月の写真です。上顎の犬歯を引っ張り出しながら、隙間を埋めるように移動させていきます。
13歳7ヶ月の写真です。上顎の犬歯がだいぶ移動してきています。他の歯も含めて、歯並びを整えていきます。
18歳9ヶ月の写真です。16歳8ヶ月で矯正装置は外しています。2番目の歯はありませんでしたが、犬歯を前に移動して分からなくしてあります。
あと戻りもなく美しい歯並びです。
矯正治療では、矯正装置を外した後も、半年に1回程度の定期的なチェックを行うことが、非常に大切です。
- 治療方法
- 上顎両側側切歯の先天欠如および上顎両側犬歯の埋伏を伴う空隙歯列症と診断し、マルチブラケット装置にて非抜歯で治療
- 治療の費用
- ¥756,000(税込)
- 治療期間
- 4年10ヶ月
- リスク・副作用
- 治療上のリスクとして歯肉退縮、顎関節症、歯根吸収、カリエス、失活歯、根の露出、 骨隆起、劣成長、歯周病があります。また、治療には個人差があります。
咬みあわせが深くてお悩みの方へ(治療例は男性)
来院理由
咬みあわせが深いことと、下顎の前歯が3本しかないということで来院されました。隣のイラストの×印が足りない歯です。
治療経過
13歳2ヶ月の来院時の写真です。○印の部分の歯が3本になっています。また横からの写真を見ると咬みあわせが深くて、前歯が隠れてしまっています。上顎も歯が窮屈そうにはえている状態です。
13歳8ヶ月の写真です。咬みあわせを浅くするために上顎を2本、下顎は中心を合わせるために一本、抜歯しました。○印の部分が歯を抜いている箇所です。ここから歯を望ましい場所に移動させていきます。
14歳3ヶ月の写真です。上顎は前歯を残して先に移動させ、後で前歯だけを移動させます。横から見ると、咬みあわせが改善されていることが分かります。
15歳6ヶ月の写真のです。上顎・下顎ともに美しい歯並びになっています。横からの写真を見ると上顎の前歯が最初のころに比べ後ろに下がっており、咬みあわせが改善されています。
16歳0ヶ月の写真です。美しい歯並びになっており、咬みあわせも良い状態になりました。前歯が3本しかありませんでしたが、3本抜歯をすることで、左右対称な歯並びになりました。
- 治療方法
- 下顎右側側切歯の先天欠如を伴う過蓋咬合症と診断し、マルチブラケット装置にて上顎両側第一小臼歯、下顎左側第一小臼歯を抜去して治療
- 治療の費用
- ¥735,000(税込)
- 治療期間
- 2年9ヶ月
- リスク・副作用
- 治療上のリスクとして歯肉退縮、顎関節症、歯根吸収、カリエス、失活歯、根の露出、 骨隆起、劣成長、歯周病があります。また、治療には個人差があります。
歯が埋まっている、または歯が足りないことでお悩みの方へ(治療例は男性)
来院理由
上の顎の向かって左側の犬歯が埋まっており、上顎下顎ともに左右の5番目の永久歯がないということで来院されました。隣のイラストの×印が足りない歯で、△が埋まっている歯です。
治療経過
13歳5ヶ月の来院時には下の写真のように上の顎の犬歯が埋まっています。また、左側の上・下顎の5番目の歯は乳歯が抜けて永久歯がはえてこず、右側の上・下顎の5番目の歯は乳歯が残存しています。レントゲンを見ると状況がより分かります。
歯並びを少し整えてから治療を開始しています。上顎は14歳、下顎は14歳6ヶ月の時の写真です。埋まっている犬歯は引っ張り出すように治療を行っています。下の歯は左側の乳歯を抜いて本数を合わせて前歯のほうに寄せています。上の歯は右側の5番目の残存している乳歯の根っこがしっかりしていたので残し、左側は歯が抜けてできたスペースを埋めるように歯を移動しています。
15歳6ヶ月の写真です。犬歯はしっかりとはえてきて隙間もなくなり美しくなりました。上・下顎の奥歯も顎も隙間がなくなり整った歯並びになっています。待っていた奥歯もしっかりはえてきました。レントゲンの○印の部分が来院時に問題のあった部分です。この後、15歳11ヶ月で矯正装置を取り外しています。
19歳11ヶ月の写真です。上顎の奥歯もはえてきて上下ともに美しい歯並びになりました。矯正装置を外して4年経過していますが定期的に来院してもらい、あと戻りや問題がないかどうかをチェックしています。
- 治療方法
- 上顎右側犬歯の埋伏と上下顎両側第二小臼歯の先天欠如を伴う過蓋咬合症と診断し、マルチブラケット装置にて永久歯非抜歯にて治療
- 治療の費用
- ¥787,500(税込)
- 治療期間
- 6年5ヶ月
- リスク・副作用
- 治療上のリスクとして歯肉退縮、顎関節症、歯根吸収、カリエス、失活歯、根の露出、 骨隆起、劣成長、歯周病があります。また、治療には個人差があります。
歯が埋まっていることでお悩みの方へ
(上顎の5番目の歯が埋まっている 治療例は女性)※非抜歯
来院理由
上顎の左右5番目の歯が、他の歯の内側に埋まっているということで来院されました。隣のイラストの△印が埋まっている歯です。
治療経過
10歳8ヶ月の来院時には写真のように左右の上顎の5番目の歯が、他の歯の内側にはえています。正面から一見しては分かりませんが、内側に入っている歯が見えないため、歯が一本少なく見えています。歯を抜かずに治療を行っています。
11歳3ヶ月の写真です。○印の歯を→の方向に移動するため歯が入るようにスペースを作っています。
14歳1ヶ月の写真です。内側に入っていた5番目の歯があるべき場所に戻りました。全体の矯正治療も行っていたので、仕上がりも問題ありません。
16歳5ヶ月の写真です。あと戻りもなく非常に美しい歯並びを保てています。抜歯・非抜歯はできるだけ患者様のご要望に添えるようにしていますが、お口の中の状態や、他の歯との兼ね合いもあり抜歯をした方がより良く仕上がることも多々あります。治療方針の説明はしっかり行わせていただきますので、不安な点は歯科医師にご相談下さい。
- 治療方法
- 上顎左右第二小臼歯の口蓋側転位を伴う叢生症と診断し、固定式拡大装置(クワドヘリックス)、マルチブラケット装置にて永久歯非抜歯にて治療
- 治療の費用
- ¥735,000(税込)
- 治療期間
- 3年3ヶ月
- リスク・副作用
- 治療上のリスクとして歯肉退縮、顎関節症、歯根吸収、カリエス、失活歯、根の露出、 骨隆起、劣成長、歯周病があります。また、治療には個人差があります。
指しゃぶりが原因で前歯が閉じない方へ(治療例は女性)
来院理由
奥歯は咬むが、前歯が咬みあわない状態、いわゆる開咬の状態となっていたため来院されました。
治療経過
7歳11ヶ月の来院時の写真です。右の写真のように、奥歯は咬んでいますが、前歯が閉じていません。
9歳2ヶ月の写真です。歯の内側に付いている器具は舌癖防止用の器具です。これを装着することにより、舌の前方への突出を止めることができます。そうすると前歯が自然に咬んできます。
9歳7ヶ月の写真です。舌癖(飲み込む際に舌を突き出す癖)、指しゃぶりを防止するだけでも、だいぶ前歯が正常な位置になってきているのが分かります。
10歳11ヶ月の写真です。舌の突出を防止する器具のみで歯並びを整えることは難しいため、全体的な矯正治療も行いました。
12歳9ヶ月の写真です。治療終了時には前歯があるべき位置まで降りてきており、全体の矯正治療も行っているため美しくなりました。
- 治療方法
- 舌癖を伴う開咬と診断し、一期治療として舌癖防止装置(タングガード)、固定式拡大装置(クワドヘリックス)、二期治療としてマルチブラケット装置にて非抜歯で治療 全期間通して口腔筋機能訓練
- 治療の費用
- 一期治療代¥420,000(税込)
二期治療代¥420,000(税込) - 治療期間
- 6年4ヶ月
- リスク・副作用
- 治療上のリスクとして歯肉退縮、顎関節症、歯根吸収、カリエス、失活歯、根の露出、 骨隆起、劣成長、歯周病があります。また、治療には個人差があります。
唇顎口蓋裂でお悩みの方へ(治療例は男性)
来院理由
唇と上顎が裂けて生まれてきた方は、縫合手術を行いますが、そのため受け口になることがあります
治療経過
8歳9ヶ月の来院時の写真です。正常であれば上の歯がすべて下の歯よりも外側にありますが、ほぼすべての歯が内側になっています。
10歳7ヶ月の来院時の写真です。まずは上顎を、前に横にと広げます。下顎は深くなった咬みあわせを治療しています。
12歳5ヶ月の来院時の写真です。矯正器具を変更して、さらに上顎を広げていきます。スペースを広げることにより後ろにはえてしまった歯を、前に移動することができます。
14歳3ヶ月の来院時の写真です。右の写真の通り、歯が入るスペースは確保できました。そこから正常な位置にある歯を基本的な矯正治療と同様に整えていきます。
16歳3ヶ月の来院時の写真です。右上の2番目の歯がぴったりと収まりました。ここから全体の咬みあわせやバランスを見ながら仕上げを行っていきます。
19歳5ヶ月の写真です。左右の歯の大きさが違うため、望ましい状態に仕上げるのは難しいですが、ほぼ正常な咬みあわせになりました。
- 治療方法
- 唇顎口蓋裂症に起因する下顎前突症開咬と診断し、非抜歯で上顎側方拡大装置、上顎前方牽引装置、マルチブラケット装置を併用して治療
- 治療の費用
- 3割負担でおよそ¥400,000、心身障害者医療適用の場合負担金なし、子ども医療摘要の場合は中学校卒業までは負担金なし(市町村によっては小学校卒業までの場合あり)その後の負担金は3割負担でおよそ¥60,000、同じく子ども医療適用後育成医療適用(所得制限有)の場合は高校卒業までは1割負担でおよそ¥20,000になります。
- 治療期間
- 11年4ヶ月
- リスク・副作用
- 治療上のリスクとして歯肉退縮、顎関節症、歯根吸収、カリエス、失活歯、根の露出、 骨隆起、劣成長、歯周病があります。また、治療には個人差があります。
奥歯の咬みあわせでお悩みの方へ(鋏状咬合 治療例は女性)
来院理由
奥歯の咬みあわせが正常な咬みあわせとは逆に上の歯が外側になってしまっていました。専門用語で言うと「鋏状咬合」という状態です。なお、この症状を放置すると顔の歪みが生じてきますので、早期治療が大切です。
治療経過
8歳1ヶ月の来院時の写真です。奥歯が横に近い向きではえてしまっていたため、鋏状咬合になってしまっています。
10歳1ヶ月の写真です。奥歯を内側へ移動させた状態です。なお、手前の抜けている部分は乳歯のはえ替わりです。
11歳2ヶ月の写真です。鋏状咬合はこれでほぼ矯正治療が完了しました。ここから歯全体の矯正治療に入ります。
13歳6ヶ月の写真です。歯とは一本でも正常な状態でなくなると、全体に影響が出ます。今回も全体的に歯並びが崩れてしまっていたので、整えていきます。
17歳4ヶ月の写真です。治療が完了した状態です。元々の鋏状咬合はもちろん、全体も改善されました。
- 治療方法
- 左側第一大臼歯の鋏状咬合を伴った叢生症と診断し、一期治療として歯科用ステンレス鋼線(パラタルバー)、固定式拡大装置(クワドヘリックス)、二期治療としてマルチブラケット装置にて非抜歯で治療
- 治療の費用
- 一期治療代¥210,000(税込)
二期治療代¥420,000(税込) - 治療期間
- 9年3ヶ月
- リスク・副作用
- 治療上のリスクとして歯肉退縮、顎関節症、歯根吸収、カリエス、失活歯、根の露出、 骨隆起、劣成長、歯周病があります。また、治療には個人差があります。
乳歯の受け口でお悩みの方へ(歯列矯正用咬合誘導装置(ムーシールド) 治療例は女性)
これまでは幼児に対しての矯正治療法は少なかったのが現状でした。しかし歯列矯正用咬合誘導装置(ムーシールド)という就寝中にマウスピースをはめるだけの簡便なものが登場し、幼児への負担が少なくなりました。
治療経過
5歳0ヶ月の来院時の写真です。使用してまだ1週間程度ですが、前歯の閉じ具合が改善されているのが分かります。
5歳4ヶ月の写真です。4ヶ月使用すると受け口の症状は見られなくなりました。
- 治療方法
- 乳歯反対咬合と診断し、歯列矯正用咬合誘導装置(ムーシールド)を装着
- 治療の費用
- ¥52,500(税込)
- 治療期間
- 1年3ヶ月
- リスク・副作用
- 慣れない間は矯正装置による不快感や、稀に痛み等があります。また、治療には個人差があります。
目立たずに矯正治療を行いたい方へ(マウスピース型矯正装置 治療例は女性)
矯正治療と聞くと、金属の矯正器具を思い出す方がほとんどではないでしょうか。審美的な部分で気にされて矯正治療を躊躇されている方もいらっしゃるかと思います。そんな方に知っていただきたいのがこちらのマウスピース型矯正装置です。透明な器具のため、ほとんど目立ちません。また着脱可能なため、食事も器具の清掃も楽に行うことが可能です。
治療経過
12歳7ヶ月の来院時の写真です。前歯に空隙の見られる「すきっ歯」の状態でした。矯正器具が目立つことに抵抗がある患者様のため、目立たないマウスピース型矯正装置の施術となりました。
13歳0ヶ月の写真です。マウスピース型矯正装置の装着中ですが、ほとんど気付かれません。
13歳9ヶ月の写真です。マウスピース型矯正装置での矯正治療が完了したところです。歯の隙間もぴったりと埋まっています。
- 治療方法
- 舌癖を伴う空隙歯列症と診断し、マウスピース型矯正装置にて非抜歯で治療 全期間通して口腔筋機能訓練
- 治療の費用
- ¥84,000(税込)
- 治療期間
- 1年0ヶ月
- リスク・副作用
- 治療上のリスクとして歯肉退縮、顎関節症、歯根吸収、カリエス、失活歯、根の露出、 骨隆起、劣成長、歯周病があります。また、治療には個人差があります。薬機法対象外の矯正歯科装置であり、医薬品副作用被害救済制度の対象外となる場合があります。