二期治療について
- HOME
- 二期治療について
不正咬合の原因の一つとして上顎と下顎の発育のアンバランスによって起こるものがあります。例えば、出っ歯は上顎の発育が旺盛で、下顎の発育が悪くてなるものが多いです。小児の発育期から矯正治療を行うことで上顎の発育を抑え、下顎の成長を促進させることができる場合があります。このとき、第一期の治療としてシンプルな装置で上顎と下顎のアンバランスを補正し、歯が永久歯に交換してから第二期として本格的な矯正治療を行います。
上顎前突(出っ歯)の一期治療
初診時
9歳4ヶ月

取りはずしのできる装置で上顎の成長を抑え、下顎の成長を促進しているところ
9歳5ヶ月

装置を付けて1年半経ったところ
10歳11ヶ月

一期治療が終了したところですべての歯が永久歯にはえ替わりました
12歳8ヶ月

上顎前突(出っ歯)の二期治療
マルチブラケット装置により本格的な治療を開始しました
12歳10ヶ月

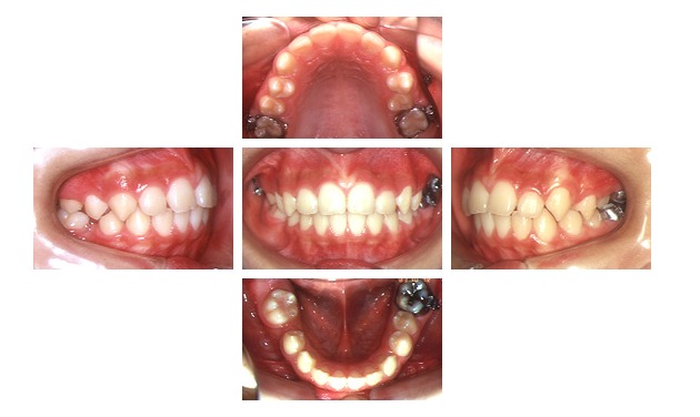
出っ歯が改善し、歯を抜くことなく出っ歯の治療が終了しました
15歳8ヶ月

装置を外して1年経ったところ
16歳8ヶ月

装置を外して2年経ったところ
17歳8ヶ月

装置を外して3年経ったところ
18歳9ヶ月

上顎前突(出っ歯)の矯正治療が終わりました

- 年齢/性別
- 9歳/男児
- 主訴
- 上の前歯が出ている
- 治療方法
- 上顎骨の過成長、下顎骨の劣成長を伴う上顎前突症と診断し、一期治療としてバイオネーター、ヘッドギア、二期治療としてマルチブラケット装置にて非抜歯で治療
- 治療の費用
- 一期治療代¥367,500(税込)
二期治療代¥420,000(税込) - 治療期間
- 6年4ヶ月
- リスク・副作用
- 治療上のリスクとして歯肉退縮、顎関節症、歯根吸収、カリエス、失活歯、根の露出、 骨隆起、劣成長、歯周病があります。また、治療には個人差があります。
下顎前突(受け口)の一期治療
初診時
7歳2ヶ月

上顎を拡げる装置を入れたところ

装置を付けて1年経ったところ
8歳4ヶ月

一期治療が終了したところですべての歯が永久歯にはえ替わりました
10歳10ヶ月

下顎前突(受け口)の二期治療
マルチブラケット装置により本格的な治療を開始しました
11歳0ヶ月

受け口が改善し、歯を抜くことなく受け口の治療が終了しました
14歳8ヶ月

装置を外して1年経ったところ
15歳8ヶ月

装置を外して2年経ったところ
16歳8ヶ月

下顎前突(受け口)の矯正治療が終わりました

- 年齢/性別
- 7歳/女児
- 主訴
- 受け口
- 治療方法
- 上顎骨の劣成長、下顎骨の過成長を伴う下顎前突症と診断し、一期治療としてリンガルアーチ、チンキャップ、二期治療としてマルチブラケット装置にて非抜歯で治療
- 治療の費用
- 一期治療代¥367,500(税込)
二期治療代¥420,000(税込) - 治療期間
- 7年6ヶ月
- リスク・副作用
- 治療上のリスクとして歯肉退縮、顎関節症、歯根吸収、カリエス、失活歯、根の露出、 骨隆起、劣成長、歯周病があります。また、治療には個人差があります。